Implantodontia · Divinópolis MG · Desde 1999
Dentes que
parecem seus
dentes
Especialista em implante dentário em Divinópolis há 25 anos. Dr. Luís Morato — atendimento exclusivo, do diagnóstico à coroa definitiva.
Implante dentário:
a solução mais próxima
do dente natural
Uma raiz de titânio (pino) fixada ao osso, com uma coroa de porcelana personalizada. Mastigação, estética e sensação idênticas ao dente original — sem escorregar, sem restrições alimentares. A solução definitiva para quem perdeu um ou mais dentes.
Tomografia 3D — etapa indispensável no planejamento do implante
Dr. Luís Morato
25 anos em Divinópolis
Cirurgião-Dentista especialista em implante dentário desde 1999. Seis pós-graduações em implante, canal, gengiva, prótese e cirurgia — tudo em um único consultório, com atendimento particular exclusivo. Realiza desde implante unitário até reabilitação total com dentadura fixa (protocolo All-on-4), enxerto ósseo e carga imediata. Você é atendido pessoalmente pelo Dr. Luís, do início ao fim.
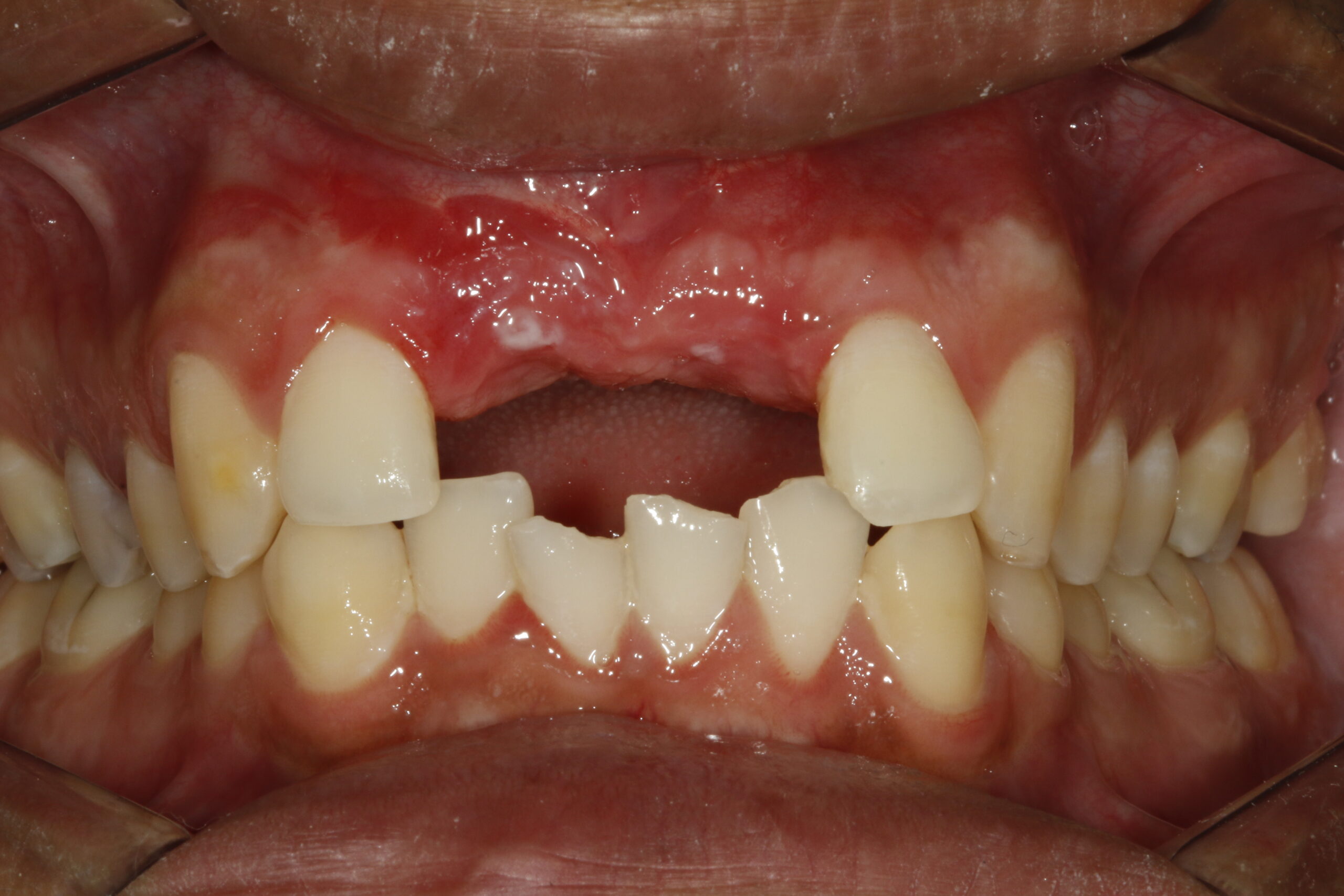
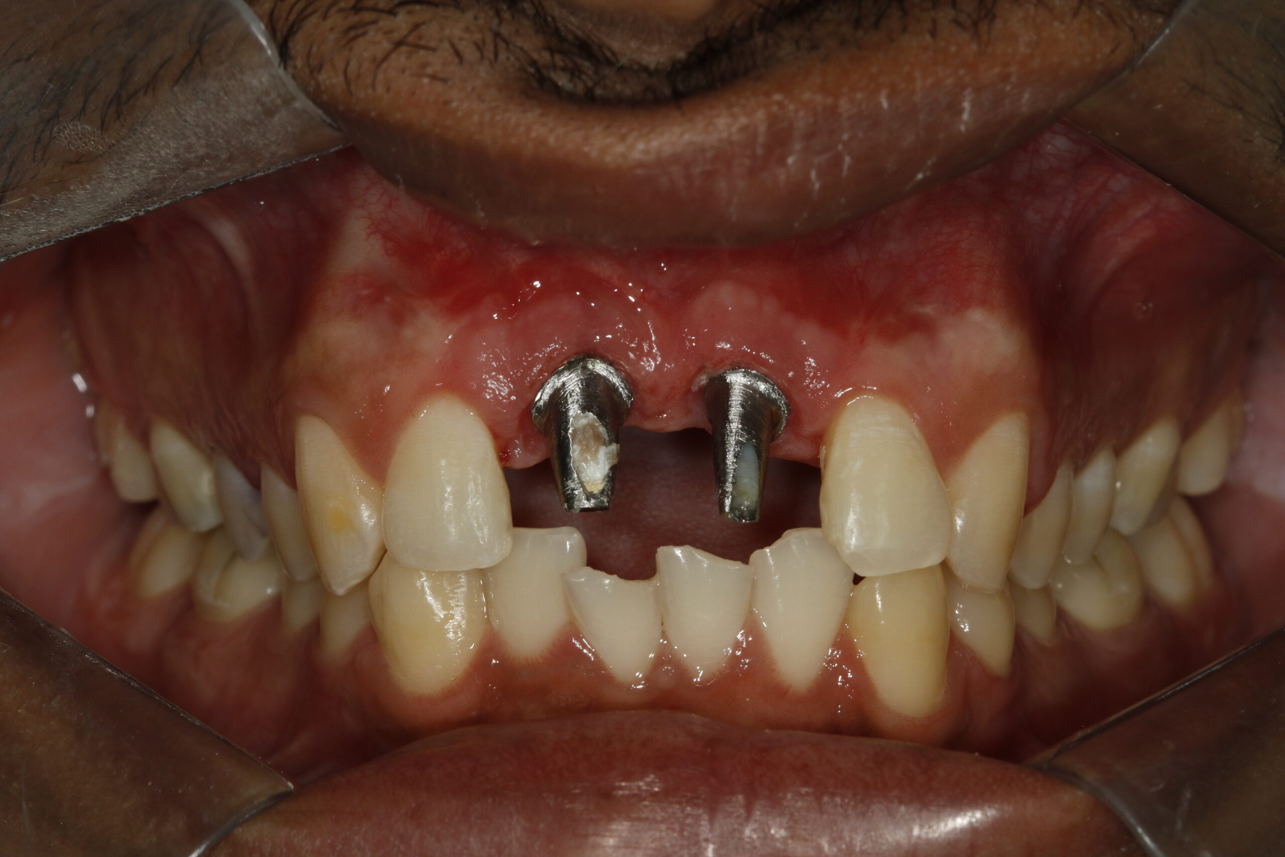
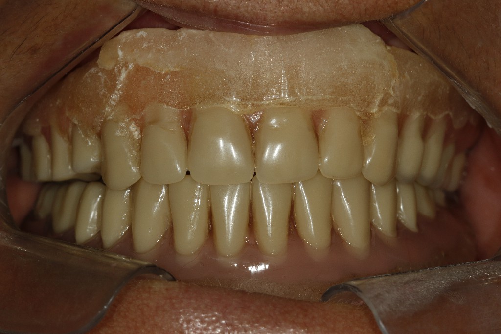
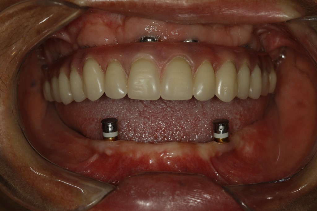
Casos reais de implante dentário em Divinópolis
Fotografias reais do consultório.
Cada caso planejado com tomografia.
Implante Unitário
1 implante repõe 1 dente



Ponte sobre Implantes
2 implantes — 3 ou mais dentes




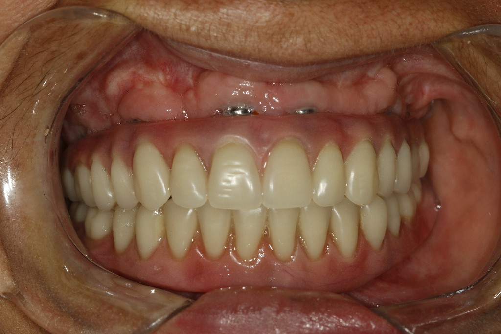
Dentadura Fixa
4 implantes — arcada inteira





O que é um implante?
Veja em minutos
Como funciona o procedimento passo a passo — de forma simples e visual, sem complicação. Entenda a diferença entre implante unitário, ponte fixa e dentadura fixa.
Dr. Luís Morato
fala sobre implantes
no rádio
O Dr. Luís foi convidado para esclarecer as principais dúvidas dos ouvintes de Divinópolis sobre implantes dentários, prótese fixa e cuidados após a cirurgia. Ouça a entrevista completa:
Agendar ConsultaTrabalhamos
no sábado
para você
Muitos dentistas não atendem nos fins de semana. O Dr. Luís Morato atende porque sabe que seu tempo é valioso — e que problemas dentários não escolhem dia.
Por que isso faz
diferença?
Perguntas
comuns
Tudo que você precisa saber antes de marcar sua consulta de implante dentário em Divinópolis.
Falar com o Dr. Luís09 · Avaliações verificadas · 4.7★ Google · 40 avaliações
O que dizem nossos
pacientes de Divinópolis
★★★★★
“Me salvou demais no domingo. Estava com muita dor e o Dr. Luís me atendeu super bem. Saí com zero dor.”
★★★★★
“Excelente profissional. Atendimento de qualidade, pontual e muito atencioso. Recomendo a toda a família.”
★★★★★
“Fui super bem atendida, na hora marcada, muito simpático e me deixou tranquila. Super profissional.”
Outras soluções com implantes dentários
Além do implante unitário, o Dr. Luís Morato realiza reabilitações orais completas para quem perdeu vários dentes ou toda a arcada. Ideal para quem quer trocar a dentadura por dentes fixos ou busca uma prótese mais estável.
Dentadura
Fixa
Com apenas 4 implantes estrategicamente posicionados, é possível reabilitar uma arcada inteira com dentes fixos — sem remover, sem movimento, mastigando normalmente. A alternativa definitiva à dentadura convencional.
Saiba maisOverdenture
sobre Implantes
A overdenture é uma prótese removível fixada sobre implantes. Mais estável que a dentadura convencional, sem escorregar, sem colar, com muito mais conforto e segurança. Indicada para quem não pode optar pela dentadura fixa.
Saiba maisEntre em
contato
Ed. Pioneiro · Centro · Divinópolis MG