Tratamento de Canal · Endodontista · Divinópolis MG · Desde 1999
Tratamento de Canal
em Divinópolis
Dentista especialista em canal em Divinópolis MG. Endodontista pela UFMG com 26 anos de experiência em canal dentário. Do diagnóstico à restauração final — canal, pino e coroa — tudo no mesmo consultório, com o mesmo profissional. Dor de dente? Atendemos urgências, sábados e plantão nos fins de semana e feriados — ligue agora.
Canal dentário: a última fronteira
para salvar seu dente
Tratamento de canal — também chamado de canal dentário, canal no dente ou endodontia — não é tirar a raiz do dente. É descontaminar o interior de um dente infeccionado para que ele continue na sua boca — funcionando, por muitos anos.
Quando uma cárie avança demais ou um trauma atinge a polpa (o "nervo do dente"), bactérias se instalam no interior do dente. O canal remove essa infecção, limpa os canais radiculares e sela tudo com material adequado. É a alternativa à extração — e, sempre que possível, a melhor escolha.
Sempre que possível, nosso primeiro objetivo é preservar. Se o dente puder ser mantido vivo, melhor. O canal entra quando a preservação já não é viável — e quando entra, é para salvar, não para perder.
Dr. Luís Morato
Endodontista pela UFMG
Dentista especialista em tratamento de canal em Divinópolis desde que se formou, em Dez/1999 — são 26 anos de prática contínua em canal dentário. Tornou-se endodontista pela UFMG em 2002. Também especialista em implantes e gengiva pela UFMG — o que permite avaliar com honestidade se o melhor caminho é salvar o dente com canal ou substituí-lo com implante. Poucos profissionais reúnem essas três especializações. Atende dor de dente de urgência nos fins de semana e feriados em Divinópolis.
Medo de
fazer canal?
Você não está sozinho. Pesquisas mostram que o tratamento de canal é um dos procedimentos que mais gera apreensão — mais do que falar em público. Sabemos disso. E levamos isso a sério.
Aqui, você é recebido com calma, sem julgamento e sem pressa. Explicamos cada etapa antes de começar. Respondemos todas as suas dúvidas. E nunca iniciamos o tratamento até que você se sinta pronto.
Fonte: American Association of Endodontists
"Nunca começamos o tratamento até que você esteja pronto. Seu tempo, seu ritmo."
— Dr. Luís MoratoO atendimento é particular, com hora marcada e tempo dedicado exclusivamente a você. Sem fila, sem rodízio de profissionais. Quem examina, trata e acompanha é sempre o mesmo dentista — do início ao fim.
Se você adia o tratamento por medo, saiba que a dor que você sente é da infecção — não do canal. O canal é o caminho para resolver essa dor.
Para seu conforto
Traga fones de ouvido com sua música favorita. Venha com acompanhante. Faça todas as perguntas que quiser antes de começar — sem pressa.
Qualquer dentista pode fazer canal....
Dor de dente? Quando você precisa de tratamento de canal
Nem toda dor de dente significa canal. Mas estes sintomas merecem avaliação de um endodontista. Na consulta, o Dr. Luís examina, faz radiografia e explica com calma se o canal dentário é realmente necessário — ou se há outra solução. Se seu dente está doendo agora, ligue: atendemos urgências em Divinópolis, inclusive aos sábados, fins de semana e feriados.
Está com dor de dente? Entenda o que pode ser e o que fazer →Passo a passo
do tratamento de canal
O procedimento é feito com anestesia local. Na maioria dos casos, completamos em uma sessão — quando a condição do dente permite. Dentes muito infeccionados podem exigir mais de uma etapa, e isso não é falha: é cuidado.



Equipamentos que fazem
a diferença
Cada instrumento tem um papel essencial para garantir precisão, segurança e conforto durante o tratamento.

Sobre o microscópio
Muitos profissionais promovem o microscópio como indispensável. É um bom instrumento — mas a honestidade com o paciente vem antes do marketing de equipamentos.
Referências internacionais em endodontia compartilham essa visão: o microscópio auxilia em casos complexos (perfurações, instrumentos fraturados, canais calcificados), mas não é determinante para o sucesso. Afinal, ele só aumenta a imagem. Quem irá colocar o instrumento dentro do canal para tratá-lo é a perícia do profissional. Assim, o que determina o sucesso é a formação do especialista, a experiência acumulada e o protocolo de assepsia. É nisso que investimos.
O que é mito e o que é verdade
sobre tratamento de canal
Muita informação errada circula sobre canal. Aqui, o Dr. Luís esclarece com base em 26 anos de prática clínica.

O perigo que
você não sente
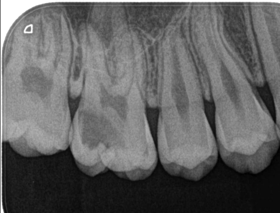
A maioria das infecções nos dentes é crônica e silenciosa. Não dói, não incha, não aparece. O dente pode estar infeccionado há anos — e você não sabe. Só a radiografia detecta.
Raio-x real: lesão escura no ápice da raiz indica infecção ativa — sem dor.
Outro sinal que passa despercebido: o dente que escurece aos poucos. Muita gente acha que é "da idade" ou "do café". Na verdade, pode ser um dente morto com infecção ativa por dentro.
Entenda por que a infecção silenciosa é a mais perigosa →Prevenir custa menos.
Dói menos.
Tratamento fica caro e pode doer quando você espera demais. A consulta a cada 6 meses com radiografia detecta problemas que você não sente.
Todo dente com canal precisa de controle radiográfico periódico — feito aqui ou por outro dentista. Sem o nervo, o dente não avisa quando algo está errado.
Se você se antecipa, o tratamento é simples. Se espera, fica complexo e caro.
Por que consultar a cada 6 meses pode salvar seus dentes →
Este é um abscesso sendo drenado. Começou como uma cárie simples. Um canal no momento certo teria evitado tudo isso.
O perigo de
não tratar
"Não está doendo, então não precisa tratar." Esse é o maior erro. Um dente infeccionado pode ficar anos sem dor — enquanto a infecção avança silenciosamente. Quanto mais espera, mais complexo e caro fica o tratamento.
Salvar o dente
com canal
A primeira opção é sempre preservar o dente natural. O canal remove a infecção e permite que o dente continue funcionando por muitos anos, com restauração adequada. É menos invasivo e preserva o osso ao redor.
Indicado quando há estrutura dental suficiente para restauração.
Substituir
com implante
Quando o dente está muito comprometido — com fratura extensa, pouca estrutura ou infecção que não responde ao tratamento — o implante pode ser a melhor solução a longo prazo.
Indicado quando a preservação não é viável ou previsível.
O Dr. Luís é especialista nas duas áreas — endodontia e implantodontia, ambas pela UFMG. Isso permite uma avaliação honesta, sem interesse em direcionar para um ou outro tratamento. O objetivo é sempre o melhor resultado para você.
Dor de dente
no fim de semana?
Dentista de plantão
em Divinópolis.
Imprevistos não escolhem hora. Se a dor de dente apareceu fora do expediente, no fim de semana ou feriado — ligue para (37) 3222-3777. Se o Dr. Luís puder atender, ele se desloca até o consultório. O atendimento de plantão funciona até as 22h — após esse horário, por questão de segurança, não realizamos atendimento presencial. Informamos o valor da consulta por telefone, que já inclui o procedimento para aliviar a dor. Sem surpresas. Emergência dentária? Não espere o próximo dia útil — dente infeccionado não melhora sozinho.
Como funciona o plantão
(37) 3222-3777
o valor
ao consultório
no ato
Do canal à coroa:
tudo no mesmo lugar
Diferente de clínicas que encaminham você para outro profissional, aqui o Dr. Luís faz o canal e também a restauração final. E quando o dente já não pode ser salvo, avalia com honestidade se a melhor solução é o implante — porque tem especialização nas duas áreas.
Fez canal?
Restaure logo o seu dente.
O canal descontaminou o dente. Mas se a restauração não for feita a tempo, ou se o curativo ficar meses, as bactérias entram de novo. O paciente não sente (sem nervo). Volta com curativo dissolvido, câmara exposta, tudo recontaminado.
Resultado: refaz o canal inteiro. Paga tudo de novo.
O que fazer (e não fazer) depois do canal →| Restauração definitiva | Em até 30 dias |
| Coroa (quando indicada) | Em até 60 dias |
| Controle radiográfico | A cada 6 meses — para sempre |
Entrevista sobre
tratamento de canal
O Dr. Luís foi entrevistado pela Rádio Minas sobre tratamento de canal — explicando de forma simples o que é o procedimento, quando é necessário e por que não precisa ter medo.
Curiosidade: a palavra "endodontia" vem do grego — "endo" (dentro) + "odont" (dente). É a especialidade que cuida do que está dentro do dente.
Veja como funciona o
tratamento de canal
Neste vídeo curto, o Dr. Luís Morato explica de forma simples o que acontece dentro do dente durante o tratamento de canal. Se você tem medo ou dúvidas, assista — dura apenas 1 minuto.
Perguntas
comuns
Tudo que você precisa saber sobre tratamento de canal antes de agendar sua consulta.
Falar com o Dr. Luís
· Avaliações verificadas · 4.7★ Google · 35 avaliações
O que dizem nossos
pacientes
★★★★★
"Me salvou demais no domingo. Estava com muita dor e o Dr. Luís me atendeu super bem. Saí com zero dor."
★★★★★
"Excelente profissional. Atendimento de qualidade, pontual e muito atencioso. Recomendo a toda a família."
★★★★★
"Fui super bem atendida, na hora marcada, muito simpático e me deixou tranquila. Super profissional."
Implante, gengiva, dentadura fixa —
tudo no mesmo consultório.
Implante
Dentário
Perdeu um dente? Implante unitário, ponte sobre implantes ou reabilitação total. Implantodontista UFMG.
Saiba mais →Tratamento de
Gengiva
Gengiva sangrando, mau hálito, dente bambo? A periodontite destrói o osso silenciosamente.
Saiba mais →Dentadura
Fixa
Dentadura solta? Com 4 implantes, todos os dentes fixos. Protocolo All-on-4.
Saiba mais →Agende sua
consulta
Ed. Pioneiro · Centro · Divinópolis MG
Tratamentos e sintomas relacionados
